Estimado socio/a:
Tenemos el agrado de comunicarles que hemos publicado un nuevo número de la Revista de la Asociación Argentina de Ortopedia y Traumatología, N.º 6, Vol. 90. 📝
Desarrollado en conjunto con la Asociación Argentina del Trauma Ortopédico (AATO)🤝
Revista de la Asociación Argentina de Ortopedia y Traumatología
ÓRGANO DE LA ASOCIACIÓN ARGENTINA DE ORTOPEDIA Y TRAUMATOLOGÍA
VOL. 90, N.° 6 / DICIEMBRE 2025
Págs. 498-620
EDITORIAL
498
Número especial de la AATO
Dr. Germán Garabano
INSTRUCCIÓN ORTOPÉDICA DE POSGRADO – IMÁGENES
499
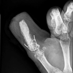
Presentación del caso
Bibiana Dello Russo, Mónica Galeano, Florencia D´Adamo
INVESTIGACIÓN CLÍNICA
503
Estado actual de la investigación científica sobre el trauma musculoesquelético en la Argentina. Estudio a partir de una encuesta
Lionel E. Llano, Sebastián Pereira, Germán Garabano, Sebastián Gómez Tejada, Danilo Taype Zamboni, Fernando Bidolegui
514
Abordaje anterolateral con osteotomía del epicóndilo en fracturas de platillo tibial. Resultados funcional y radiológico a los 6 meses de seguimiento
Víctor A. Ciccarello, Isaac Aranibar, Martín E. Romagnoli, Gonzalo J. Blanco O´Dena, David Espinoza Mendoza
525
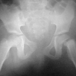
Caracterización de las fracturas por fragilidad previas a una fractura de cadera. Estudio retrospectivo de 200 casos
Nadia Gabotto Loredo, Gonzalo M. Viollaz, Lucio Gutiérrez, Joaquín Swinnen, Germán Garabano, Melina Saban, Álvaro J. Muratore, Diego J. Gómez, Alejandro Tedeschi, Gustavo J. Teruya
530
Fracturas de platillo tibial tipo II-III de Schatzker tratadas con aloinjerto óseo impactado o técnica de rafting. ¿Es necesario llenar el vacío? Estudio de cohortes comparativo en 80 pacientes
Sebastián Pereira, Germán Garabano, Andrés Juri, Leonel Pérez Alamino, Joaquín Rodríguez, César Á. Pesciallo, Fernando Bidolegui
538
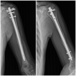
Fracturas diafisarias de húmero tratadas con un clavo MultiLoc®. Resultados a mediano plazo
Miguel Zublin, Matías Beatti, Diego Guichet, Tomás Pellecchia, Ignacio Arzac Ulla
547
Evaluación ecográfica y correlación clínica del músculo pronador cuadrado luego de su reparación en el tratamiento de fracturas de radio distal
Gustavo J. Teruya, Santiago Ávila Posada, Christopher Bermeo, Gonzalo M. Viollaz, Diego J. Gómez, Álvaro J. Muratore
556
Evaluación de la clasificación de las fracturas de platillo tibial según Schatzker-Kfuri utilizando radiografías y tomografía. Comparación entre el observador experto y el modelo ChatGPT-4o
Héctor A. Rivadeneira Jurado, Elias A. Rivadeneira Jurado, Daniel Espinoza Freire, Andrés F. Samaniego, Ezequiel Lulkin, Fernando Bidolegui, Sebastián Pereira
PRESENTACIÓN DE CASOS
561
Luxación irreductible de rodilla asociada a interposición de estructuras mediales: reporte de un caso
Ricardo Londoño García, Miguel Á. Cano González, Víctor A. Avendaño Arango
570
Reconstrucción osteoplástica del pulgar. Técnica y resultado luego de más de 6 años de seguimiento
Nadia Gabotto Loredo, Gonzalo M. Viollaz, Diego J. Gómez, Gustavo J. Teruya, Álvaro J. Muratore, Alejandro Tedeschi, Rafael Durán
578
Reducción abierta y fijación interna como manejo de una fractura compleja de escápula en una niña con politraumatismos. Reporte de un caso
Danilo Mesa Rincón, Andrea Gamarra Patrón, María Fernanda Ochoa Ariza, Sergio R. Gómez
NOTA TÉCNICA
586
“Técnica del reciclado” para la reconstrucción en un tiempo de una mano metacarpiana
Pablo E. Valle, Lucas F. Loza, Nicolás Cardinal, Alejandro Fazio, Fernando J. Cervigni
ARTÍCULO ESPECIAL
594
¿Y si todo comenzó con un hueso roto? Reflexiones paleolíticas sobre el origen del cuidado médico y la traumatología
Fernando D. Berdaguer Ferrari
ACTUALIZACIÓN
597
Protocolo para la atención del trauma no accidental en la población infantojuvenil: aspectos radiológico y traumatológico
Bibiana Dello Russo, Mónica Galeano, Florencia D´Adamo
INSTRUCCIÓN ORTOPÉDICA DE POSGRADO – IMÁGENES
604
Resolución del caso
Bibiana Dello Russo, Mónica Galeano, Florencia D´Adamo
OBITUARIO
609
Prof. Dr. Salomón Schächter (1926-2025)
Prof. Dr. Carlos Tello
612 ÍNDICE POR TEMAS 2025
615 ÍNDICE DE AUTORES 2025
618 EVALUADORES 2025
www.aaot.org.ar • https://raaot.org.ar
Full english text available. Indexada en SciELO, LILACS, Latindex, Dialnet, Doaj, Redib, AmeliCA y JournalTOCs
Incluida en el Núcleo Básico de Revistas Científicas Argentinas del CONICET.
ISSN 1852-7434 (en línea)





